Is your skin itching, breaking out, covered in a rash, or playing host to strange spots? Skin inflammation, changes in texture or color, and spots may be the result of infection, a chronic skin condition, or contact with an allergen or irritant. You can learn to recognize common adult skin problems. Yet, while many are minor, they may signal something more serious, so always consult a doctor for proper diagnosis.
Cold Sores (Fever Blisters)
Small, painful, fluid-filled blisters on the mouth or nose, cold sores are caused by the herpes simplex virus. Lasting about seven to 10 days, cold sores are contagious until completely crusted over. Triggers can include fever, too much sun, stress, or menstruation. Antiviral pills or creams can be used as treatment, but call your doctor if sores contain pus, you have a fever greater than 100.5°, or if your eyes become irritated.
Shingles (Herpes Zoster)
Shingles starts with burning, tingling, or very sensitive skin. A rash of raised dots develops into painful blisters that last about two weeks. Shingles often occurs on the trunk and buttocks, but can appear anywhere. Most people recover, but pain, numbness, and itching linger for many -- and may last for months, years, or the rest of their lives. Treatment with antiviral drugs, steroids, antidepressants, and topical agents can help.
Hives (Urticaria)
Hives, a common allergic reaction that looks like welts, are often itchy, stinging, or burning. They may appear anywhere and last minutes or days. Severe hives can cause difficult breathing (get immediate medical attention if this occurs). Medications, foods, or food additives, temperature extremes, and infections like strep throat can cause hives. Removing the trigger often resolves the hives in days or weeks. Antihistamines can provide relief.
Psoriasis
A non-contagious rash of thick red plaques covered with silvery scales, psoriasis usually affects the scalp, elbows, knees, and lower back. The rash can heal and recur throughout life. The cause of psoriasis is unknown, but skin inflammation may be triggering new skin cells to develop too quickly.
Eczema
Eczema describes several non-contagious conditions where skin is inflamed, red, dry, and itchy. Stress, irritants (like soaps), allergens, and climate can trigger flare-ups though they're not eczema's cause, which is unknown. In adults, eczema often occurs on the elbows and hands, and in "bending" areas, such as inside the elbows.
Rosacea
Often beginning as a tendency to flush easily, rosacea causes redness on the nose, chin, cheeks, forehead, even in the eyes. The redness may intensify over time, taking on a ruddy appearance. If left untreated, bumps and pus-filled pimples can develop, with the nose and oil glands becoming bulbous.
Rash From Poisonous Plants
Contact with sap from poison ivy, oak, and sumac causes a rash in most people. It begins with redness and swelling at the contact site, then becomes intensely itchy. Blistering appears within hours or a few days. The typical rash is arranged as a red line on an exposed area, caused by the plant dragging across the skin. The rash usually lasts up to two weeks.
Prescription or over-the-counter medication may soothe the itching of mild rashes. For a severe rash, oral cortisone may be given. If the skin becomes infected, antibiotics may be necessary. Avoiding direct contact with the plants can prevent the rash, so learn to recognize poisonous plants. In general, poison oak grows west of the Rockies; poison ivy to the east.
Razor Bumps
Razor bumps are tiny, irritated bumps that develop after shaving. The sharp edge of closely shaven hair can curl back and grow into the skin, causing irritation and pimples, and even scarring. To minimize razor bumps, take a hot shower before shaving, shave in the direction of hair growth, and don't stretch the skin while shaving. Rinse with cold water, then apply moisturizer.
Skin Tags
A skin tag is a small flap of flesh-colored or slightly darker tissue that hangs off the skin by a connecting stalk. They're usually found on the neck, chest, back, armpits, under the breasts, or in the groin area. Skin tags are not dangerous and usually don't cause pain unless they become irritated by clothing or nearby skin rubbing against them.
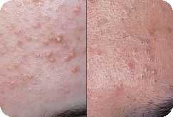
Acne
At the heart of acne lies the pimple -- a plug of fat, skin, and keratin. When open, the plug is called a blackhead, closed, a whitehead. Often seen on the face, chest, and back, acne is caused by many things, including hormones. To help control it, keep oily areas clean and don't squeeze pimples (it may cause infection and scars).
Moles
Usually brown or black, moles can be anywhere on the body, alone or in groups, and generally appear before age 20. Some moles (not all) change slowly over the years, becoming raised, developing hair, and/or changing color. While most are non-cancerous, some moles have a higher risk of becoming cancerous. Have a dermatologist evaluate moles that change, have irregular borders, unusual or uneven color, bleed, or itch.
Age or Liver Spots (Lentigines)
These pesky brown spots are not really caused by aging, though they do multiply as you age. They're the result of sun exposure, which is why they tend to appear on areas that get a lot of sun, such as the face, hands, and chest. Bleaching creams, acid peels, and light-based treatments may lessen their appearance. To rule out serious skin conditions such as melanoma, see a specialist for proper identification.
Pityriasis Rosea
A harmless rash, pityriasis rosea usually begins with a single, scaly pink patch with a raised border. Days to weeks later, salmon-colored ovals appear on the arms, legs, back, chest, and abdomen, and sometimes the neck. Patches on the back may appear "Christmas tree" shaped. The rash, whose cause is unknown, usually doesn't itch, and often goes away in 6-8 weeks without treatment.
Melasma ('Pregnancy Mask')
Melasma (or chloasma) is characterized by tan or brown patches on the cheeks, nose, forehead, and chin. Although usually called the "pregnancy mask," men can also develop it. Melasma may go away after pregnancy but, if it persists, can be treated with prescription creams and over-the-counter products. Use a sunscreen at all times if you have melasma, as sunlight worsens the condition.
Warts
Caused by contact with the contagious human papillomavirus, warts can spread from person to person or via contact with something used by a person with the virus. You can prevent spreading warts by not picking them, covering them with bandages, and keeping them dry. In most cases, warts are harmless, painless, and go away on their own.
Seborrheic Keratosis
Noncancerous growths that may develop with age, seborrheic keratoses can appear on the chest or back, alone, or in groups. They may be dark or multicolored, and usually have a grainy surface that easily crumbles, though they can be smooth and waxy. No treatment is necessary unless irritation develops or their appearance is a concern. Because seborrheic keratoses may be mistaken for moles or skin cancer, see a specialist for proper diagnosis.
Athlete's Foot
A fungal infection that can cause peeling, redness, itching, burning, and sometimes blisters and sores, athlete's foot is mildly contagious, passed by direct contact or by walking barefoot in areas such as locker rooms, or near pools. The fungi then grow in shoes, especially tight ones without air circulation.
courtesy webMD
Also Read :
Common skin diseases of children

